Mobil Reportyor
Bakı 14.03°
|
USD - 1.70
EUR - 1.99
GBP - 2.29
RUB - 2.24
|
Arxiv
|
Haqqımızda
|
Əlaqə
Siyasət
Dünya
İqtisadiyyat
Xəbərlər
Mədəniyyət
Açılmamış sirrlər
Təhsil
Səhiyyə
İdman
Müsahibə
Müəllif yazıları
Kriminal
Digər
Qəzet təqvimi
Mədəniyyət
Sabah havanın dəyişkən buludlu olacağı, arabir tutulacağı gözlənilir
Xoşqədəmin verilişdə DAVA: 37 yaşlı qadınla eşq yaşayan 19 yaşlı gənc - VİDEO
Millət vəkili, akademik, dünya şöhrətli tarixçi Yaqub Mahmudovun şərəfli həyat yolu
“Gəncliyin bir həftəsi”ndə intellektual yarış
Yaqub Mahmudov tələbələrə ustad dərsi keçib
Azərbaycanda atılmış valideynlər övladlarından aliment tələb edə bilərlər
Azərbaycanın rayonlarına qar yağıb
Sabah havanın dəyişkən buludlu olacağı, əsasən yağmursuz keçəcəyi gözlənilir.
Qızılca xəstəliyinə qarşı mübarizə gücləndiriləcək
“Sabahın alimləri” VIII Respublika müsabiqəsində 311 şagird iştirak edəcək
Firudin Qurbanov Tacikistanın səfiri ilə görüşüb
Yanvarın 29-da yağış və qar yağacağı gözlənilir
Sosial şəbəkələrdə böyük müzakirəyə səbəb olan görüntüyə RƏSMİ AÇIQLAMA
Ağır xəstəlikdən əziyyət çəkən Rəmişin xəstəxanadan görüntüsü yayıldı
Məşhur model ərinin valideynlərini həbs etdirdi
Azərbaycan Türk fəlsəfəsindən yarpaqlar: HƏSƏN BƏY ZƏRDABİ (5.Yazı)
Bakıda jurnalist nişan üzüyü tapdı - Sahibini axtarır
Nəsimi dövrü tarixi səpkidə təhlil ediləcək
Azərbaycanda güclü külək gözlənilir
40 dərəcəyə yaxın şaxtada - küçədə cümə namazı qıldılar
Azərbaycanda övladlığa vermə qaydaları dəyişir
Prezident azərbaycanlı xeyriyyəçinin tikdirdiyi məscidi şəxsi hesabına bərpa etdirdi
Azərbaycanda yağmursuz hava şəraiti davam edəcək
Ukraynada bir ailəni xilas edən azərbaycanlı qardaşlara mükafat verildi
Avropa paytaxtında Məhəmməd adı ilk sırada
Smartfondan çox istifadə psixi pozuntu əlaməti ola bilər
Fərdanın boşandığı arvadı ŞOK FAKTLARI AÇDI
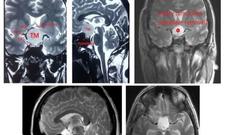
Unikal neyrocərrahiyyə əməliyyatı icra edilib
⇦ Geri
İrəli ⇨
Xəbər Lenti
ABŞ Maduroya vəkillərin xərclərini Venesuela aktivləri ilə ödəməyə icazə verdi
10:09
Azərbaycan və Ukrayna prezidentləri mətbuata bəyanatlarla çıxış ediblər
25 Aprel 17:19
CNN: ABŞ Hörmüz boğazının bağlanması riskini qiymətləndirməyib
25 Aprel 16:12
Qəbələdə Azərbaycan Prezidenti İlham Əliyevin Ukrayna Prezidenti ilə təkbətək və geniş tərkibdə görüşü olub
25 Aprel 14:45
Aİ Azərbaycanın beş tankerini sanksiyalardan çıxarıb
25 Aprel 14:10
“Roma” Klaudio Ranyerinin klubdan getdiyini elan etdi
25 Aprel 12:15
Meta və Microsoft süni intellektə (Sİ) sərmayə qoymaq üçün minlərlə işçini ixtisar edəcəklərini elan ediblər
25 Aprel 11:11
ABŞ İrana qarşı minlərlə Tomahawk raketi xərcləyib
25 Aprel 10:12
Sabaha olan hava proqnozu açıqlanıb
24 Aprel 18:13
Türkiyəli alim azərbaycanlı tarixçilərə istinad etdi
24 Aprel 16:41
İtaliya Yunanıstanı keçərək avrozonanın ən böyük borclu ölkəsinə çevrilib
24 Aprel 16:32
Apple Samsung-dan əyri ekranlı iPhone 20-ni təqdim edəcək
24 Aprel 16:08
Fransa Rafale müqaviləsi müqabilində Yunanıstana 43 qırıcı təyyarəsini Ukraynaya verməsini təklif edə bilər
24 Aprel 15:39
Makron 2027-ci ildə siyasətdən getməyi planlaşdırır
24 Aprel 15:12
Fransa Ukraynanın hərbi hava qüvvələrini gücləndirməkdə davam edir
24 Aprel 14:34
Çin şirkəti CATL 6 dəqiqəyə tam doldurulan avtomobil akkumulyatoru yaradıb
24 Aprel 14:03
Gürcüstanda keçmiş müdafiə naziri Burçuladze 10 il həbs cəzasına məhkum edilib
24 Aprel 13:33
İkinci Dünya müharibəsi iştirakçılarına birdəfəlik maddi yardım veriləcək SƏRƏNCAM
24 Aprel 13:18
NYT Müctəba Xameneinin vəziyyəti barədə məlumat əldə edib
24 Aprel 13:04
Rubio: ABŞ İranın 2026-cı il Dünya Çempionatına qatılmamasını tələb etməyib
24 Aprel 12:49
ABŞ-da "Tomahawk"-a bənzər uzaqmənzilli ucuz qanadlı raketi təqdim edilib
24 Aprel 12:22
NATO tədricən ABŞ kəşfiyyat təyyarələrini istifadədən çıxarır
24 Aprel 12:02
Pentaqonda İspaniyanın NATO üzvlüyünün dayandırılması müzakirə olunur
24 Aprel 11:58
Alimlər dinozavrları ovlayan nəhəng səkkizayaqları kəşf ediblər
24 Aprel 11:21
Avropa İttifaqı Özbəkistandan olan iki şirkətə sanksiya tətbiq edib
24 Aprel 11:19
Ukrayna minlərlə kilometr uzaqlıqdakı düşmən hədəflərini vurmaq üçün "kiçik" hava hücumundan müdafiə sistemini işə saldı
24 Aprel 11:12
Almaniyada İran şahı Pəhləvinin oğlunun üstünə qırmızı maye atıblar
24 Aprel 11:07
Tramp İrana qarşı nüvə silahından istifadəni istisna edib
24 Aprel 10:24
Türkiyə Estoniyada 122 mm-lik raketlərin istehsalı üçün sursat fabrik tikəcək
24 Aprel 10:19
ABŞ-da Maduronun həbsinə mərc edərək 400.000 dollar qazanan əsgər saxlanılıb
24 Aprel 10:02
Atəşkəsin pozulması halında ABŞ İrana yeni zərbələr endirməyi planlaşdırıb
24 Aprel 08:47
ABŞ, Almaniya və Çini özündən geridə buraxdı: Dünyanın ən varlı ölkəsi seçildi
24 Aprel 08:24
Ermənistanda Türkiyə bayrağı alcaqcasına yandırılıb: Paşinyan sərt reaksiya verib
24 Aprel 07:52
Dron zərbələri nəticəsində Qorki Neft Nasos Stansiyasında başlayan yanğın davam edir
24 Aprel 07:48
Şərhsiz
24 Aprel 07:35
Günün fotosu
24 Aprel 07:33
Günün videosu
24 Aprel 07:30
Sabah bəzi dağlıq və dağətəyi rayonlarda hava fasilələrlə yağıntılı olacaq
23 Aprel 18:11
İkisi Mərkəzi Kəşfiyyat İdarəsinin (MKİ) agenti olan dörd məmur öldü və ölkəni qarışıqlığa saldı
23 Aprel 16:27
İran müharibəsinə görə Panama kanalından keçid qiymətləri rekord həddə yüksəlib
23 Aprel 16:03
Paşinyan Ermənistanın KTMT-dən çıxıb-çıxmayacağından əmin deyil
23 Aprel 15:46
“Drujba” boru kəməri ilə Slovakiyaya neft tədarükü bərpa edilib
23 Aprel 15:31
Danimarkada baş verən qatar toqquşması nəticəsində on yeddi nəfər yaralanıb
23 Aprel 15:23
Rusiya ABŞ-da keçiriləcək G20 sammitinə dəvət olunub
23 Aprel 15:13
Gürcüstan 2027-ci ildə ATƏT-ə sədrlik etmək üçün namizədliyini irəli sürüb
23 Aprel 15:07
2021-ci ildən bəri dünyada multimilyonerlərin sayı üç dəfə artıb
23 Aprel 15:01
ABŞ Dövlət Departamenti amerikalıları İranı tərk etməyə çağırıb
23 Aprel 15:00
Yenidən dizayn edilmiş BMW 7-ci Seriyalı flaqman sedanı təqdim edildi
23 Aprel 14:12
Hakerlər Bundestaq Prezidentinin Signal hesabını sındırdılar
23 Aprel 14:03
Dietoloq 20 dəqiqəlik naharın təhlükələri barədə xəbərdarlıq etdi
23 Aprel 13:57
Fotoxəbər
23 Aprel 13:45
Yuxarı Lars yolu yenidən ağır yük maşınları üçün bağlanıb
23 Aprel 13:41
"Çelsi" Rosenyoru baş məşqçi vəzifəsindən azad etdi
23 Aprel 13:15
Azərbaycan Ağsaqqallar Şurasının IX Qurultayı keçirilir
23 Aprel 13:12
Xabarovsk diyarında altı nəfər balıq tutmağa gedib yoxa çıxıb
23 Aprel 12:56
Asus yeni ultra nazik planşet hazırlayır
23 Aprel 12:36
Milyarder Castin San Tramp ailəsinin şirkətini hədə-qorxu ilə pul tələb etməkdə ittiham etdi
23 Aprel 12:08
Zelenski bu gün qeyri-rəsmi AB liderlərinin sammitində iştirak edəcək
23 Aprel 12:03
Pentaqon: Hörmüzün minalardan təmizlənməsi ən azı yarım il çəkəcək
23 Aprel 11:39
Nigeriyada ISWAP terror qruplaşmasının hücumu nəticəsində on bir nəfər həlak olub
23 Aprel 11:25
Çinin müdafiə naziri aprelin 23-dən 28-dək Rusiya və Qırğızıstana səfər edəcək
23 Aprel 11:06
Cəfərov ardıcıl dördüncü dəfə, Qurbanov isə ikinci dəfə Avropa çempionu olub
23 Aprel 10:53
15 yaşdan kiçik şəxslər üçün sosial medianı qadağan edən qanun layihəsi parlamentdən keçib
23 Aprel 10:28
Peskov Putinlə Zelenski arasında görüşün şərtlərini açıqladı
23 Aprel 10:11
Trampın elçisi 2026-cı il Dünya Kubokunda İranın İtaliya ilə əvəz olunmasını təklif edib
23 Aprel 10:03
Avropada saxta avro əskinaslarının dörddə birini italyan təkbaşına çap edib
23 Aprel 09:03
ABŞ Hərbi Dəniz Qüvvələrinin rəisi Trampla bağlı münaqişədən sonra qəfil istefa verdi
23 Aprel 08:02
Noviçok zəhərinin yaradıcısı Tuapsedə tüstü təhlükəsi barədə xəbərdarlıq etdi
23 Aprel 07:56
Krım dronların hücumuna məruz qalır: neft anbarı yanır
23 Aprel 07:52
Türkiyə iyul ayında NATO zirvəsinə ev sahibliyi edəcək
23 Aprel 07:48
Şərhsiz
23 Aprel 07:34
Günün fotosu
23 Aprel 07:33
Günün videosu
23 Aprel 07:30
Sabaha gözlənilən hava proqnozu açıqlanıb
22 Aprel 18:23
Britaniyalı general Sırskinin Baş Məsləhətçisi təyin edilib
22 Aprel 16:32
Müsahibə
Prezident İlham Əliyevin sədrliyi ilə Təhlükəsizlik Şurasının iclası keçirilib
5 Mart 20:17
Bakıda Cənub Qaz Dəhlizi Məşvərət Şurası çərçivəsində nazirlərin 12-ci və Yaşıl Enerji Məşvərət Şurası çərçivəsində nazirlərin 4-cü iclasları keçirilib
3 Mart 18:11
Prezident İlham Əliyev Münxendə panel müzakirələrdə iştirak edib
15 Fevral 11:02
Prezident İlham Əliyev Münxendə “France 24” telekanalına müsahibə verib
15 Fevral 10:00
Prezident İlham Əliyev Münxendə Azərbaycan telekanallarına müsahibə verib
13 Fevral 22:33
Redaktor Seçimi
Sabaha olan hava proqnozu açıqlanıb
24 Aprel 18:13
Fotoxəbər
22 Aprel 11:09
Fotoxəbər
21 Aprel 12:00
Fotoxəbər
17 Aprel 11:14
Fotoxəbər
15 Aprel 12:29
Oxu Məni qəzeti
Sizin Reklam Yeriniz
Sizin Reklam Yeriniz
Sizin Reklam Yeriniz
Sizin Reklam Yeriniz
Sizin Reklam Yeriniz
Sizin Reklam Yeriniz